India (English)
India (English)
Case Study

FDM implant puts the spring back in Oreo's step.


Oreo the dog enjoying the use of his new implant.

FDM produces strong, durable, biocompatible parts, making it ideal for implant manufacturing.

A painful problem.

In 2011, a six-year-old mixed-breed dog named Oreo suffered a dislocated left hind patella. The patella was removed to relieve the pain, but he became lame after the surgery. The veterinary practitioner then consulted the Orthopaedic Innovation Centre (OIC), a research and testing facility that serves the medical device market, about the possibility of creating an artificial implant for Oreo. The OIC regularly uses 3D printing as a means of shortening the design and production cycles for its clients, as well as the creation of low volume or customized products, and saw this as an excellent solution for Oreo.

FDM is an ideal technology for implant manufacturing because it can produce strong, durable, biocompatible parts with the right physical properties.

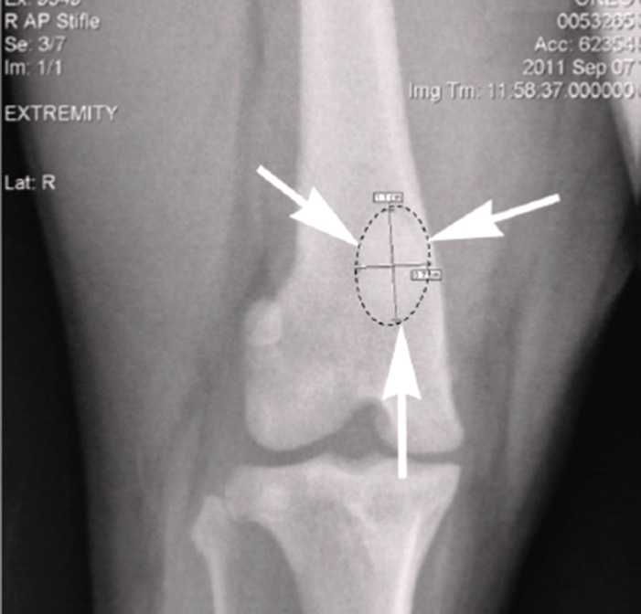
X-ray of original hind stifle joint and patella.

To help Oreo, OIC obtained a donated patella that was used to generate a scaled digitized copy. A biomedical engineer then converted the file into a computer-aided design (CAD) model. X-ray radiographs of Oreo’s other patella were then used to modify the CAD design to match his femur.

 

“In Oreo’s case, we were able to produce a custom-tailored implant in only four days including design, analysis, physical testing, and manufacturing. As we move down the learning curve, it will probably be possible to produce similar implants in only a day or two.”

3D printed implant.

OIC built an artificial patella using FDM® technology, an additive manufacturing process that builds plastic parts layer-by-layer from CAD files, on its Stratasys® 3D printer using PC-ISO™ biocompatible polycarbonate (ISO 10993 USP Class VI). Physical testing was performed on the implant to validate its ability to provide the necessary mechanical strength. The implant was sterilized using ethylene oxide at 54°C (130°F) for one hour. During Oreo’s surgery, the implant was attached to the tendon and quadriceps using polypropylene sutures.

CAD model of patella.
FDM printed patella pictured before implantation.

Oreo recovered without incident, and eight weeks after his surgery, he had regained complete function of his leg with a full range of motion and weight- bearing capacity. His owner reported that he could once again go on long walks and jump using both of his limbs. Now, more than three years later, Oreo continues to enjoy an active lifestyle without complications thanks to his 3D printed implant.

 

“FDM is an ideal technology for implant manufacturing because it is capable of producing strong, durable, biocompatible parts with the right physical properties,” said Martin Petrak, president of Orthopaedic Innovation Centre.

 

“With FDM, we can tailor the implant to perfectly match the recipient’s anatomy which has the potential to provide dramatic improvements in functionality and recovery time.”

A custom-tailored FDM 3D printed implant put the spring back in an injured dog's step, saving him from pain and discomfort.

Related Content

A Default Image

3D printing enables more precise surgical implants for orbital eye operations.

Learn how Hong Kong Polytechnic University's Industrial Center is using 3D printing to improve eye orbital implant surgery accuracy.

View more
3d printing medical industry

Medical designers: how to incorporate 3D printed materials.

The medical industry uses 3D printers for designing, prototypes, and training for surgeries. Learn about these and other applications in our whitepaper.

View more
advancing healthcare

Applications and guidance on material selection with 3D printing.

The benefits of 3D printing in the medical industry include improved economics and better clinical outcomes for patients. Learn more in our whitepaper.

View more
A Default Image

Learn how Hong Kong Polytechnic University's Industrial Center is using 3D printing to improve eye orbital implant surgery accuracy.

3d printing medical industry

The medical industry uses 3D printers for designing, prototypes, and training for surgeries. Learn about these and other applications in our whitepaper.

advancing healthcare

The benefits of 3D printing in the medical industry include improved economics and better clinical outcomes for patients. Learn more in our whitepaper.